Toggle navigation
首页
医学知库
医学讲坛
医学文献
学术会议
病例分析
学术活动
会议征集
视频征集
文献征集
科普征集
论文解读
病例征集
医学调研
患者招募
留言板
单页
专题
更多
百度
会员
中心
登录
注册
医学讲坛
首页
医学知库
医学讲坛
列表
默认
经尿道输尿管镜取石术(URS)的新方法
医学讲坛
2021年08月10日
49 点赞
0
评论
606 浏览
泌尿外科机器人单端口手术
医学讲坛
2021年08月10日
35 点赞
0
评论
291 浏览
膀胱
医学讲坛
2021年08月10日
47 点赞
0
评论
852 浏览
非肌层浸润性膀胱肿瘤的治疗和诊断新方法
医学讲坛
2021年08月10日
28 点赞
0
评论
968 浏览
喉底疼痛的42岁女士
医学讲坛
2021年08月10日
30 点赞
0
评论
215 浏览
一些让结肠镜检查听上去不难熬的事实
医学讲坛
2021年08月10日
10 点赞
0
评论
735 浏览
探索寨卡病毒的危险因素和症状
医学讲坛
2021年08月10日
92 点赞
0
评论
683 浏览
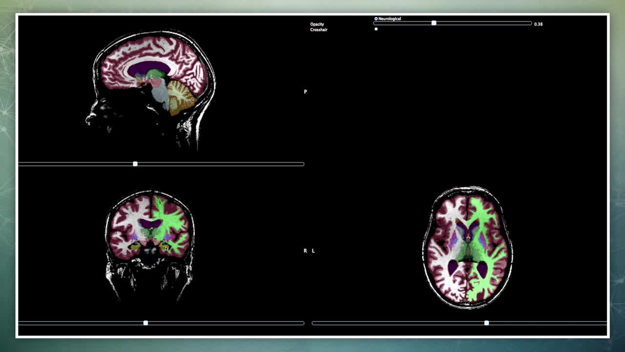
神经影像软件在实践和研究中的应用
医学讲坛
2021年08月10日
32 点赞
0
评论
904 浏览
先进的神经诊断软件有助于医生制定更好的治疗计划
医学讲坛
2021年08月10日
45 点赞
0
评论
753 浏览
基因载体扫描有助于备孕父母做好准备
医学讲坛
2021年08月10日
66 点赞
0
评论
450 浏览
«
1
2
...
794
795
796
797
798
799
800
...
913
914
»
微信小程序
微信扫一扫体验
立即
投稿
微信公众账号
微信扫一扫加关注
返回
顶部